一天接诊超20例!市口腔医院口腔科暑期“火力全开”
文章来源:发布时间:2025-07-24 10:36:17暑假已至,随着社会对口腔健康重视程度的不断提升以及家长们健康意识的增强,市口腔医院口腔科迎来就诊高峰。据统计,自假期开始迄今,口腔科日均接诊量较平日增长60%,其中12岁以下儿童占比达55%,12-18岁青少年占比达35%,反映出社会对矫正干预的迫切需求。许多家长趁着暑假期间带孩子前来咨询和矫正牙齿,希望及早干预,避免后续问题,让孩子在新学期来临前拥有更整齐健康的牙齿和更自信的笑容。
01 告别“大龅牙”,重拾自信
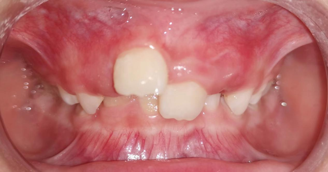
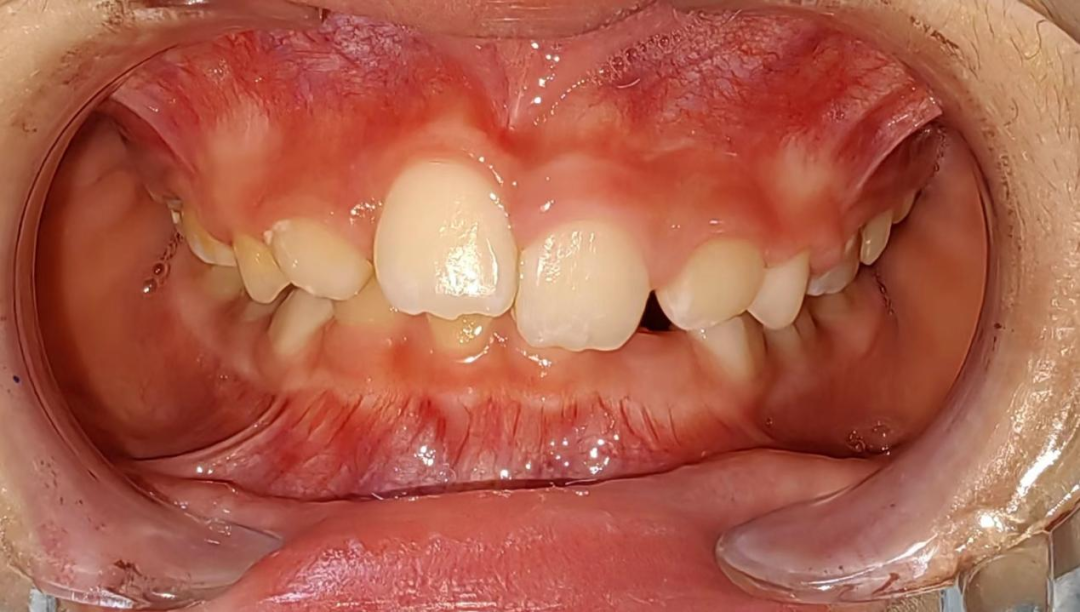
今年9岁的乐乐(化名)是市口腔医院口腔科的一名小患者。由于乳牙滞留,乐乐的上颌一颗门牙突出,形成了俗称的“大龅牙”,不仅影响美观,还让她在学校里常常被同学调侃,变得不爱笑。乐乐的妈妈王女士说:“孩子因为牙齿问题越来越内向,我们一直想带她来做矫正,但平时上学时间紧张,暑假终于有机会系统治疗了!”
经过市口腔医院口腔科副主任敖川北的详细检查,乐乐被诊断为上颌前突下颌后缩且牙列拥挤。敖川北为她定制了个性化的矫治方案(3D打印硅胶牙套+隐形牙套),预计在两年内完成。“现在孩子戴的是硅胶牙套,只需夜间佩戴,不影响白天学习及生活,她自己也很配合,希望她能尽快地恢复自信。”王女士欣慰地说。
矫正前
矫正中
矫正后
02 暑期矫正正当时,早期干预是关键
据市口腔医院正畸科统计,每年暑假期间,儿童早期矫正+正畸的患者数量较平日增长约40%,这一现象印证了口腔医学界“黄金矫治期”的理论。
“暑期是全年牙齿矫正的黄金期,长达两个月的假期为孩子提供了充足的适应期,避免了因初戴矫治器的不适而影响学习。此外,假期灵活的时间安排也便于定期复诊,确保矫正效果。”敖川北介绍,“很多家长认为要等孩子换完牙再矫正,其实像地包天、龅牙、牙齿拥挤等问题越早干预效果越好,否则可能为后期的正畸加大难度及手术风险。”
为满足暑期患儿需求,市口腔医院正畸科开通了“学生绿色通道”,增加了暑假坐诊专家,并推出免费初诊检查、矫治器优惠等活动。此举不仅优化了医疗资源配置,更体现了公立医院服务民生的责任担当。通过弹性排班、多学科会诊等举措,将平均候诊时间压缩至30分钟以内,患者满意度达98.6%。
03 矫正需专业评估,勿盲目跟风
针对部分家长追求“快速矫正”或网购牙套自行佩戴的现象,敖川北强调,“正畸治疗是个体化极强的医疗行为,每个病例都需要综合考虑骨骼、肌肉、牙齿三位一体的平衡关系。”我院引进的数字化正畸系统,通过AI模拟预测矫治效果,将治疗精准度提升至0.1毫米级别。统计表明,规范的正畸治疗可使咀嚼功能提升50%,面部协调性改善显著。
“不规范的矫治可能导致牙齿松动、咬合功能紊乱等严重后果。家长应选择正规医疗机构,定期复诊,确保治疗安全有效。”敖主任提醒。
目前,市口腔医院已为百余名暑期患儿制定了个性化的矫正方案。“牙齿问题不能等,建议家长利用暑假带孩子做专业评估。”敖川北建议。
暑期是儿童青少年牙齿矫正的黄金窗口期。市口腔医院将持续优化服务流程,确保高效、精准、舒适的就诊体验,助力广大学子抓住“最佳时机”,收获整齐牙齿和健康未来。
别让犹豫错过蜕变机会,这个暑假,与我们一起见证笑容的华丽升级!
					